
Op der indonesescher Insel Sumatra gouf e schwéier blesséiert Orang-Utan-Weibche mat 74 Kugele vun engem Gewier fonnt. Dat op 30 Joer geschaten Déier gouf an der Géigend vun der Stad Subulussalam an engem Bësch entdeckt, esou déi lokal Naturschutzautoritéit e Mëttwoch. Nieft de Schossverletzungen huet d’Weibche gebrache Schanken a Krazwonnen. Beim Orang-Utan loung en ënnerernäerten Afepuppelche vun ongeféier engem Mount, dee kuerz drop gestuerwen ass.
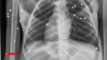
Dem Afeweibche geet et hire Retter no mëttlerweil besser an dat trotz de 74 Kugelen, déi bei der Röntgen an engem Spidol gezielt goufen. D’Déier krut den Numm “Hope” (Hoffnung). Schätzungen no gëtt et op Sumatra an der Nopeschinsel Borneo am Ganzen ongeféier 110.000 Orang-Utanen. D’Mënschenafe sinn a Gefor, well se duerch d’Ofholze vum Dschungel fir de Palmenueleg hire Liewensraum verléieren.